Trụ Implant Tekka Pháp hiện đang là lựa chọn được nhiều nha sĩ và khách hàng tin dùng trong các ca cấy ghép răng hiện đại. Với xuất xứ từ Pháp và công nghệ tiên tiến, Tekka ngày càng khẳng định vị thế tại thị trường Việt Nam nhờ độ bền cao, khả năng tích hợp xương vượt trội và tính thẩm mỹ tối ưu. Vậy trụ Implant Tekka là gì, có tốt không, giá bao nhiêu? Hãy cùng Nha khoa Đông A tìm hiểu chi tiết trong bài viết dưới đây để đưa ra lựa chọn đúng đắn khi trồng răng Implant.

Trụ Implant Tekka Là Gì? Có Xuất Xứ Từ Đâu?

Giới thiệu về thương hiệu Implant Tekka (Pháp)

Implant Tekka là sản phẩm thuộc tập đoàn Global D, đơn vị danh tiếng tại Pháp chuyên nghiên cứu và sản xuất thiết bị y tế, đặc biệt trong lĩnh vực cấy ghép nha khoa. Được thành lập từ năm 2000, Tekka đã nhanh chóng khẳng định chất lượng vượt trội và hiện diện tại hơn 30 quốc gia, trong đó có các thị trường khắt khe như Đức, Thụy Sĩ và Nhật Bản.

Tại Việt Nam trụ Implant Tekka ngày càng được các bác sĩ tin tưởng nhờ chất lượng chuẩn châu Âu, tích hợp xương tốt và hiệu quả phục hình cao.

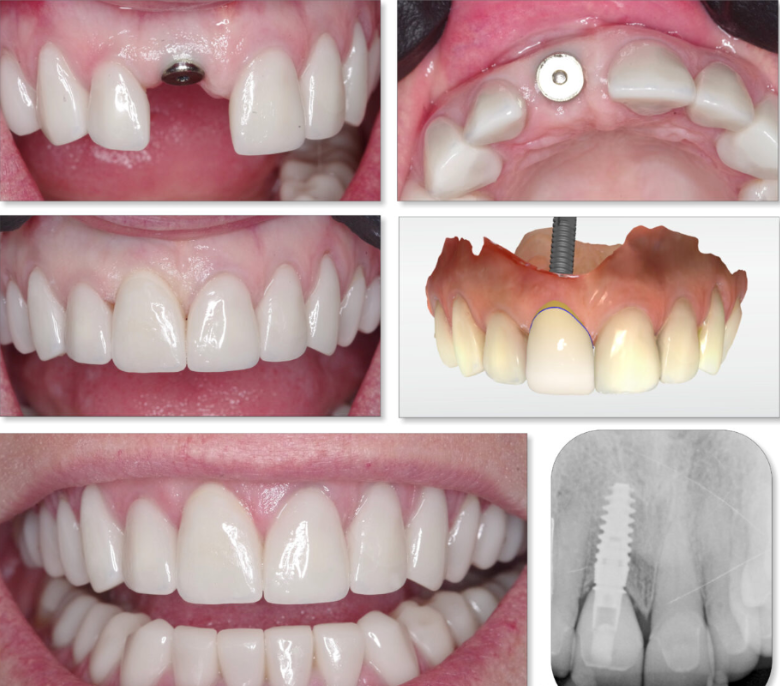
implant tekka pháp

✦ Công nghệ và thiết kế đặc trưng

Implant Tekka Pháp nổi bật với công nghệ xử lý bề mặt SA (Sandblasted and Acid-etched), giúp tăng độ nhám vi thể và diện tích tiếp xúc với xương, từ đó tăng khả năng tích hợp xương nhanh chóng và giảm thời gian lành thương.

Bên cạnh đó, thiết kế ren xoắn kép cùng thân trụ thuôn nhẹ giúp trụ bám chắc ngay từ khi cấy, tạo độ ổn định sơ khởi cao, phù hợp cả với những trường hợp xương yếu hoặc cần phục hình tức thì. Đây là một trong những điểm mạnh giúp Tekka trở thành lựa chọn ưu tiên trong các ca trồng răng Implant hiện đại.

Các dòng Tekka phổ biến trên thị trường

Dưới đây là bảng tổng hợp các dòng trụ Implant Tekka phổ biến hiện nay được các nha khoa tin dùng:

Tên dòng trụ  Đặc điểm chính Lợi ích nổi bật
Tekka EVL
  • Thiết kế tiêu chuẩn
  • Phù hợp nhiều loại xương hàm
  • Dễ cấy ghép
  • Có độ tương thích sinh học cao
  • Ứng dụng linh hoạt trong nhiều trường hợp
Tekka Cylindrical
  • Thân trụ có hình tròn
  • Thiết kế dành cho bệnh nhân xương yếu hoặc mềm
  • Lý tưởng cho cấy ghép tức thì
  • Giúp tăng độ ổn định trong xương mềm

Ngoài ra, Tekka còn phát triển các biến thể như EVL S (thiết kế ngắn cho xương hàm thấp), EVL K (trụ cổ loe) để phù hợp với từng chỉ định chuyên biệt từ bác sĩ.

Implant Tekka Có Tốt Không?

Ưu điểm vượt trội về tích hợp xương

Implant Tekka Pháp ứng dụng công nghệ xử lý bề mặt SA tiên tiến giúp tăng tốc độ tích hợp xương và giảm nguy cơ đào thải. Thiết kế thân trụ tối ưu giúp trụ bám chắc vào xương hàm ngay từ khi cấy, nhờ đó quá trình lành thương diễn ra nhanh hơn và có thể phục hình răng sớm hơn so với các loại trụ thông thường.

Độ bền và khả năng chịu lực

Trụ Tekka được sản xuất từ Titanium nguyên chất cấp độ y tế, có độ cứng và khả năng chịu lực vượt trội, đặc biệt phù hợp với các vùng răng hàm chịu lực nhai mạnh. Với  chế độ chăm sóc đúng cách, tuổi thọ của trụ có thể kéo dài từ 10-20 năm, thậm chí lâu hơn.

Đánh giá thực tế từ bác sĩ và khách hàng

Theo thống kê tại Nha khoa Đông A, hơn 95% khách hàng hài lòng sau khi cấy ghép trụ Implant Tekka, đặc biệt là về tính ổn định và độ thẩm mỹ. Các bác sĩ cũng đánh giá cao khả năng tích hợp xương nhanh, thao tác lâm sàng dễ dàng và tỷ lệ thành công gần như tuyệt đối sau phục hình.

Giá Trụ Implant Tekka Bao Nhiêu?

Giá trụ Tekka tại nha khoa Việt Nam

Tại Việt Nam, giá cấy ghép trụ Implant Tekka Pháp hiện dao động trong khoảng 18 – 25 triệu VNĐ/trụ, tùy thuộc vào tình trạng xương hàm, mức độ phức tạp của ca điều trị và loại mão sứ phục hình được lựa chọn.

Yếu tố ảnh hưởng đến chi phí

    • Tình trạng răng miệng và xương hàm: Nếu mất răng lâu năm hoặc tiêu xương hàm, sẽ cần can thiệp thêm để đảm bảo trụ cấy ghép bám vững.
    • Có cần ghép xương hoặc nâng xoang hay không: Đây là yếu tố phát sinh chi phí phổ biến trong các ca mất răng lâu năm ở hàm trên.
    • Loại mão sứ phục hình: Giá có thể thay đổi tùy theo việc lựa chọn mão sứ, phổ biến nhất hiện nay là sứ kim loại, toàn sứ, hoặc Zirconia cao cấp.
    • Tay nghề của bác sĩ và công nghệ áp dụng: Nha khoa có bác sĩ chuyên sâu Implant, hệ thống chẩn đoán kỹ thuật số 3D thường có chi phí cao hơn nhưng đảm bảo an toàn và hiệu quả lâu dài.

So sánh Tekka với các trụ cùng phân khúc

Tiêu chí Implant Tekka (Pháp) Implant SIC (Thụy Sĩ) Implant MIS (Israel)
Đặc điểm
  • Bề mặt SA tiên tiến
  • Thiết kế ren xoắn kép, thân thuôn nhẹ
  • Thiết kế cổ loe, thân trụ tiêu chuẩn
  •  Bề mặt xử lý trung bình
  • Ren sâu, dễ cấy ghép
  • Thiết kế đơn giản, phổ thông
Lợi ích
  • Tích hợp xương nhanh
  • Ổn định cao khi cấy
  • Hiệu quả thẩm mỹ cao và bền vững
  • Dễ sử dụng
  • Độ ổn định khá
  • Chi phí hợp lý
  • Phục hồi tốt
  • Chi phí thấp
  • Phổ biến tại nhiều nha khoa
Giá 18 – 25 triệu VNĐ/trụ 17 – 22 triệu VNĐ/trụ 16 – 21 triệu VNĐ/trụ

Trụ Implant Tekka Phù Hợp Với Ai?

Các trường hợp nên dùng trụ Tekka

Trụ Implant Tekka là giải pháp lý tưởng cho nhiều đối tượng, đặc biệt là những trường hợp sau:

  • Mất 1 hoặc nhiều răng hàm và cần phục hồi khả năng ăn nhai mạnh
  • Khách hàng có mật độ xương tốt, không cần ghép xương phức tạp
  • Người muốn trồng răng implant nhanh chóng, bền vững và đạt tính thẩm mỹ cao.
  • Trường hợp cần cấy ghép tức thì hoặc muốn rút ngắn thời gian phục hình

Implant Tekka có dùng được cho người lớn tuổi không?

Có thể sử dụng. Trụ Tekka hoàn toàn phù hợp với người cao tuổi, miễn là không mắc bệnh lý mãn tính nghiêm trọng và mật độ xương còn đảm bảo. Tại Nha khoa Đông A, rất nhiều khách hàng từ 60 tuổi trở lên đã cấy ghép trụ Tekka thành công, ăn nhai thoải mái và cải thiện chất lượng cuộc sống rõ rệt.

Nha khoa uy tín sử dụng trụ Tekka Pháp

Nha khoa Đông A là một trong những đơn vị tiên phong sử dụng Implant Tekka chính hãng nhập khẩu trực tiếp từ Pháp. Đội ngũ bác sĩ giàu kinh nghiệm, trang thiết bị hiện đại, quy trình vô trùng khép kín là những yếu tố bảo đảm sự an toàn và hiệu quả cho khách hàng.

Kết Luận: Implant Tekka Pháp – Chất Lượng Từ Châu Âu, Đáng Đầu Tư

Implant Tekka Pháp là dòng trụ cao cấp được đánh giá cao nhờ khả năng tích hợp xương nhanh, độ ổn định vượt trội và thiết kế tối ưu cho cả thẩm mỹ lẫn chức năng ăn nhai. Với chất lượng đạt chuẩn châu Âu, Tekka mang đến hiệu quả lâu dài và tỷ lệ thành công cao, xứng đáng là lựa chọn ưu tiên cho những ai cần trồng răng Implant bền vững.

Dù có mức giá cao hơn một số dòng trụ phổ biến khác, nhưng những lợi ích mà trụ Implant Tekka mang lại hoàn toàn tương xứng. Nếu bạn đang tìm giải pháp phục hình răng hiện đại, an toàn và thẩm mỹ, hãy cân nhắc lựa chọn Implant Tekka tại Nha khoa Đông A nơi hội tụ công nghệ tiên tiến và đội ngũ bác sĩ chuyên sâu về Implant.

📍 Địa chỉ: Nha khoa Đông A – 19A Nguyễn Đình Chiểu, Phường 4, Phú Nhuận, TP.HCM
📞 Hotline: 083 402 3456
📘 Fanpage: Nha khoa Đông A
📧 Email: nhakhoadonga19a@gmail.com