Trồng răng implant có bị hôi miệng không là mối bận tâm chung của nhiều khách hàng trước khi lựa chọn phương pháp cấy ghép răng hiện đại này. Dù implant được đánh giá cao về tính thẩm mỹ, độ bền và khả năng ăn nhai như răng thật, nhưng không ít người vẫn lo ngại nguy cơ hơi thở có mùi sau điều trị. Vậy trồng răng implant có gây hôi miệng không, nguyên nhân do đâu và cách xử lý thế nào? Hãy cùng Nha khoa Đông A tìm hiểu chi tiết qua bài viết dưới đây để có câu trả lời chính xác nhất.
Trồng Răng Implant Có Gây Hôi Miệng Không?
✦ Implant Có Phải Là Nguyên Nhân Chính Gây Hôi Miệng?
Nhiều người lo lắng trồng răng implant bị gây hôi miệng không, nhưng trên thực tế, trụ implant được chế tạo từ titanium nguyên chất, một vật liệu y tế an toàn, không gây mùi và không bị oxi hóa trong môi trường khoang miệng. Vì vậy, implant không phải là nguyên nhân trực tiếp gây ra hôi miệng.

✦ Thực Tế Hôi Miệng Sau Cấy Implant Là Do Đâu?
Theo các bác sĩ tại Nha khoa Đông A, nguyên nhân hôi miệng sau trồng răng implant chủ yếu đến từ:
- Vệ sinh kém khiến thức ăn và mảng bám tích tụ quanh trụ implant.
- Viêm nướu hoặc viêm quanh implant gây mùi khó chịu.
- Phục hình mão sứ hoặc abutment không khít, tạo khe hở đọng thức ăn.
Khi những yếu tố này kết hợp với vi khuẩn trong khoang miệng sẽ tạo ra mùi hôi. Vì vậy, để ngăn ngừa hôi miệng sau implant, người bệnh cần chú trọng chăm sóc răng miệng kỹ lưỡng và thực hiện tái khám định kỳ để kiểm soát tình trạng viêm nhiễm nếu có.
✦ Có Phải Ai Trồng Implant Cũng Bị Hôi Miệng?
Câu trả lời là không phải ai trồng implant cũng bị hôi miệng. Thực tế, tỷ lệ người bị hôi miệng sau cấy ghép implant là khá thấp, đặc biệt ở những bệnh nhân tuân thủ tốt hướng dẫn chăm sóc sau điều trị.
Những trường hợp bị hôi miệng thường xuất hiện ở người:
- Bỏ qua bước vệ sinh kẽ răng và quanh trụ implant.
- Không đi tái khám định kỳ theo lịch hẹn của bác sĩ.
- Chọn cơ sở nha khoa thiếu uy tín, dẫn đến phục hình không chính xác.
Do đó, để tránh gặp phải tình trạng hôi miệng, bạn nên lựa chọn địa chỉ trồng răng implant uy tín, kết hợp với chế độ chăm sóc răng miệng hợp lý theo đúng hướng dẫn từ bác sĩ chuyên khoa.

Nguyên Nhân Gây Hôi Miệng Sau Khi Trồng Implant
✦ Vệ sinh răng miệng chưa đúng cách
Trồng răng implant có bị hôi miệng không? thì đây là một trong các nguyên nhân dễ gây hôi miệng sau khi trồng implant phổ biến nhất. Khi người bệnh không vệ sinh kỹ vùng quanh trụ implant, mảng bám và thức ăn thừa dễ tích tụ, tạo điều kiện cho vi khuẩn phát triển. Điều này không chỉ gây ra hơi thở có mùi khó chịu, mà còn làm tăng nguy cơ viêm nướu và viêm quanh implant.
Vì vậy, sau khi cấy ghép, bạn cần thực hiện chăm sóc răng miệng đúng cách, sử dụng chỉ nha khoa và máy tăm nước để làm sạch kẽ răng và vùng sát trụ implant mỗi ngày.

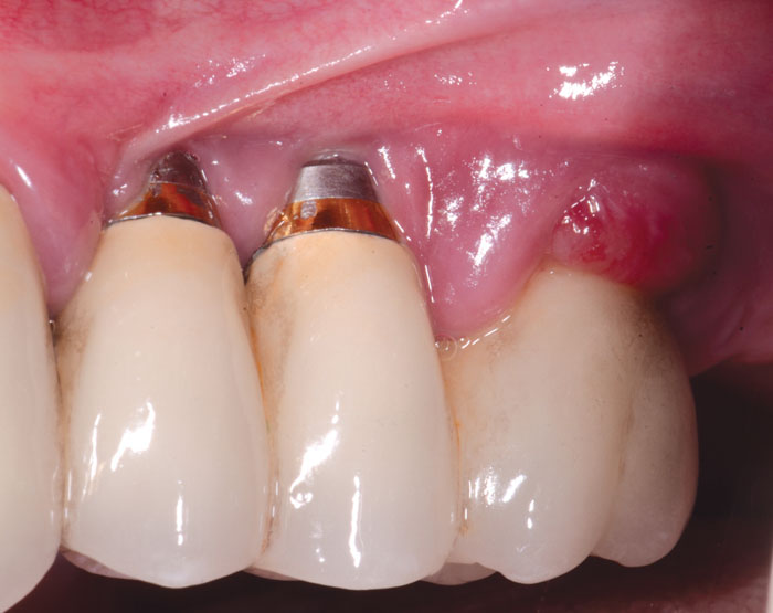
✦ Viêm Quanh Implant (Peri-implantitis)
Viêm quanh implant là một biến chứng nghiêm trọng có thể xảy ra nếu trụ implant không được chăm sóc đúng cách hoặc bị tác động bởi các yếu tố ngoại lai. Tình trạng này khiến mô nướu và xương xung quanh implant bị viêm nhiễm, dẫn đến:
- Nướu sưng đỏ, chảy máu
- Tụt nướu, lộ trụ implant
- Hơi thở có mùi hôi kéo dài

Nếu không điều trị kịp thời, viêm quanh trụ có thể làm mất liên kết giữa implant và xương hàm, ảnh hưởng trực tiếp đến tuổi thọ của răng implant.
✦ Abutment Hoặc Mão Sứ Lỏng Lẻo Gây Đọng Thức Ăn
Một trong những nguyên nhân gây hôi miệng sau cấy ghép implant ít người để ý là phục hình mão sứ hoặc abutment không khít. Khi mão sứ bị lỏng hoặc lệch nhẹ, khe hở giữa các bộ phận sẽ là nơi lý tưởng để thức ăn mắc lại, lâu ngày sinh ra vi khuẩn gây mùi và thậm chí gây viêm nướu.
Để tránh tình trạng này, bạn nên lựa chọn nha khoa có đội ngũ bác sĩ giàu kinh nghiệm và trang thiết bị hiện đại, đảm bảo phục hình chính xác, khít sát và an toàn cho răng implant.
Làm Sao Để Ngăn Ngừa Hôi Miệng Sau Khi Trồng Implant?
✦ Vệ Sinh Răng Miệng Đúng Cách Hằng Ngày
Vệ sinh răng miệng là yếu tố then chốt để ngăn ngừa hôi miệng sau khi trồng răng implant. Bạn nên:
- Đánh răng 2 – 3 lần/ngày bằng bàn chải lông mềm, chú ý làm sạch nhẹ nhàng quanh vùng implant để tránh tổn thương nướu.
- Dùng chỉ nha khoa hoặc máy tăm nước để loại bỏ mảng bám và thức ăn còn sót lại trong các kẽ răng và vùng sát trụ implant.
- Súc miệng bằng nước muối sinh lý hoặc nước súc miệng không cồn để diệt khuẩn và giúp hơi thở luôn thơm mát.

Nếu duy trì thói quen này không chỉ giúp bạn loại bỏ nguyên nhân gây mùi mà còn góp phần bảo vệ trụ implant lâu dài
✦ Xử Lý Kịp Thời Nếu Có Dấu Hiệu Bất Thường
Nếu bạn nhận thấy các dấu hiệu bất thường như:
- Hơi thở có mùi hôi kéo dài
- Chảy máu nướu, nướu quanh implant sưng đỏ
- Đau nhức, ê buốt hoặc giảm cảm giác implant bị lung lay
Thì nên đến nha khoa ngay để được bác sĩ kiểm tra và can thiệp kịp thời. Việc xử lý sớm sẽ giúp ngăn chặn biến chứng viêm quanh implant, bảo vệ sự ổn định của trụ và kéo dài tuổi thọ cho răng phục hình.
Khi Nào Cần Gặp Bác Sĩ Vì Hôi Miệng Sau Trồng Implant?
✦ Dấu Hiệu Cảnh Báo Cần Điều Trị Ngay
Đừng chủ quan nếu bạn gặp phải các triệu chứng sau:
- Hơi thở có mùi hôi nặng dù đã vệ sinh kỹ
- Nướu sưng, tấy đỏ, dễ chảy máu quanh vùng implant
- Đau nhức, implant có cảm giác lung lay hoặc ê buốt
Những dấu hiệu này cho thấy có thể bạn đang gặp phải biến chứng viêm quanh implant, cần điều trị càng sớm càng tốt để tránh ảnh hưởng nghiêm trọng.
✦ Các Phương Pháp Xử Lý Tại Nha Khoa
Tùy theo mức độ nghiêm trọng, bác sĩ có thể áp dụng:
- Vệ sinh chuyên sâu vùng quanh trụ implant bằng dụng cụ nha khoa chuyên dụng.
- Điều trị viêm nướu, viêm quanh implant bằng thuốc hoặc liệu trình nha chu.
- Thay thế mão sứ, abutment nếu phát hiện lỏng lẻo, lệch khớp cắn hoặc gây tích tụ mảng bám.
✦ Implant Bị Viêm Có Phải Tháo Ra Không?
Trong những trường hợp nghiêm trọng như:
- Tiêu xương quanh implant
- Trụ implant mất liên kết với xương hàm
- Viêm nhiễm lan rộng, không đáp ứng điều trị
Thì bác sĩ có thể buộc phải tháo implant để xử lý triệt để ổ viêm. Tuy nhiên, nếu phát hiện sớm và can thiệp đúng cách, hầu hết các trường hợp đều không cần tháo trụ mà vẫn có thể điều trị bảo tồn thành công.
Kết Luận: Trồng Implant Không Gây Hôi Miệng Nếu Chăm Sóc Đúng Cách
Tóm lại, trồng răng implant không gây hôi miệng nếu được thực hiện đúng kỹ thuật tại nha khoa uy tín và bạn có chế độ chăm sóc răng miệng hợp lý. Những trường hợp hơi thở có mùi sau khi cấy ghép thường xuất phát từ nguyên nhân có thể kiểm soát được, như vệ sinh chưa đúng cách hoặc biến chứng nhẹ. Khi được phát hiện và xử lý kịp thời, tình trạng này hoàn toàn có thể khắc phục.
Tại Nha khoa Đông A, chúng tôi cam kết sử dụng trụ implant chất lượng, quy trình chuẩn quốc tế và đội ngũ bác sĩ giàu kinh nghiệm. Hãy đến để được thăm khám, tư vấn và cấy ghép implant an toàn, không lo hôi miệng!
📍 Địa chỉ: Nha khoa Đông A – 19A Nguyễn Đình Chiểu, Phường 4, Phú Nhuận, TP.HCM
📞 Hotline: 083 402 3456
📘 Fanpage: Nha khoa Đông A
📧 Email: nhakhoadonga19a@gmail.com
