Răng sứ Zolid là một trong những dòng răng sứ cao cấp được ưa chuộng rộng rãi trong phục hình nha khoa, đặc biệt dành cho những ai mong muốn cải thiện thẩm mỹ và chức năng ăn nhai của răng miệng. Với độ bền cao, tính thẩm mỹ tuyệt vời và khả năng chịu lực mạnh mẽ, răng sứ Zolid không chỉ mang lại kết quả lâu dài mà còn giúp bạn có một nụ cười tự nhiên. Vậy răng sứ Zolid là gì, có những lợi ích gì và giá cả của loại sứ này như thế nào? Hãy cùng tìm hiểu chi tiết trong bài viết này.
Răng Sứ Zolid Là Gì? Có Mấy Loại?
Giới thiệu về chất liệu Zolid
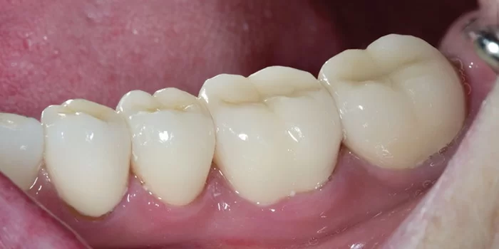
Răng sứ Zolid được làm từ zirconia, một loại chất liệu sứ nổi bật trong ngành nha khoa nhờ vào độ bền cao và khả năng chịu lực mạnh mẽ. Zirconia là một hợp chất oxi của kim loại zircon, có tính chất đặc biệt gần như không thể phá vỡ, khả năng chống mài mòn rất tốt và bền vững theo thời gian. Chính nhờ vào những đặc tính này, răng sứ Zolid trở thành lựa chọn lý tưởng cho các phục hình răng cửa và răng hàm, nơi yêu cầu cả độ bền và tính thẩm mỹ.
Với khả năng chịu lực vượt trội, Zolid giúp đảm bảo chức năng nhai mà không lo bị mẻ hay vỡ, đồng thời mang lại một nụ cười tự nhiên và đẹp lâu dài. Chất liệu zirconia có khả năng giữ màu sắc ổn định theo thời gian và không bị biến màu, giúp duy trì vẻ đẹp và sự tự nhiên của răng miệng.

Các dòng Zolid phổ biến trên thị trường
- Zolid HT: Đây là dòng zirconia đục được sử dụng chủ yếu cho răng hàm. Zolid HT có khả năng chịu lực rất tốt, vượt trội so với nhiều loại sứ khác, giúp bảo vệ răng trong quá trình nhai thức ăn hàng ngày. Loại này được ưa chuộng vì độ bền cao và sự chắc chắn, đặc biệt là với các răng cần chịu lực lớn.
- Zolid FX: Đây là dòng zirconia trong, được ưa chuộng nhất trong việc phục hình răng cửa. Với độ trong mờ tự nhiên, Zolid FX mang lại hiệu quả thẩm mỹ vượt trội, giúp răng sứ hòa hợp với các răng thật. Nhờ vào khả năng tái tạo màu sắc giống như răng thật, Zolid FX là lựa chọn hoàn hảo cho những ai muốn có một nụ cười tự nhiên, hoàn hảo.
- Zolid Gen-X: Đây là dòng zirconia cải tiến, kết hợp giữa độ bền và tính thẩm mỹ. Zolid Gen-X có sự kết hợp hoàn hảo cho cả răng cửa và răng hàm, giúp đạt được sự cân bằng giữa bền bỉ và đẹp tự nhiên. Dòng sứ này có khả năng đáp ứng cả những yêu cầu khắt khe về cả độ bền và thẩm mỹ, rất thích hợp cho các ca phục hình phức tạp.
Nguồn gốc xuất xứ của răng sứ Zolid
Răng sứ Zolid được sản xuất bởi VITA Zahnfabrik, một công ty nổi tiếng của Đức, chuyên cung cấp các sản phẩm vật liệu nha khoa chất lượng cao. VITA Zahnfabrik là một trong những tên tuổi lớn trong ngành sản xuất răng sứ, được tin dùng rộng rãi trong nha khoa hiện đại. VITA cung cấp nhiều dòng sứ cao cấp, trong đó Zolid là sản phẩm nổi bật, được ứng dụng nhiều trong các ca phục hình răng miệng đòi hỏi độ thẩm mỹ cao và độ bền lâu dài.
VITA Zahnfabrik đã có hơn 90 năm kinh nghiệm trong ngành nha khoa và luôn cam kết cung cấp các sản phẩm chất lượng vượt trội, đáp ứng yêu cầu khắt khe của các bác sĩ nha khoa và người tiêu dùng.
Răng Sứ Zolid Có Tốt Không?
Độ bền và khả năng chịu lực
Răng sứ Zolid là một trong những dòng răng sứ có độ bền rất cao, đặc biệt là dòng Zolid HT dành cho răng hàm. Với chất liệu zirconia, Zolid có thể chịu được lực ăn nhai lớn mà không lo bị vỡ hay mẻ, ngay cả khi tiếp xúc với thức ăn cứng hoặc có tính chất khắc nghiệt. Đặc điểm này khiến Zolid trở thành lựa chọn lý tưởng cho các răng hàm cần phải chịu lực nhai mạnh. Vì vậy, nếu bạn có nhu cầu phục hình cho răng hàm, Zolid sẽ đảm bảo cả thẩm mỹ và chức năng sử dụng lâu dài mà không phải lo lắng về việc răng bị hư hỏng.

Tính thẩm mỹ và độ trong mờ tự nhiên
Một trong những yếu tố khiến răng sứ Zolid được ưa chuộng chính là khả năng mô phỏng răng thật rất tốt, đặc biệt là dòng Zolid FX. Zolid FX sử dụng zirconia trong, giúp mang lại độ trong mờ tự nhiên, giống như răng thật, khó có thể phân biệt với răng thật. Đây là lý do tại sao Zolid FX được lựa chọn nhiều trong các ca phục hình răng cửa, nơi yêu cầu tính thẩm mỹ cao. Đặc biệt, dòng Zolid này mang lại cho bạn một nụ cười tự nhiên và hoàn hảo, không lo bị lộ sứ hoặc không đều màu.
So sánh Zolid với các dòng sứ khác
- Zolid vs Cercon: Cercon cũng là một dòng sứ zirconia, nhưng Zolid nổi bật hơn về tính thẩm mỹ và khả năng mô phỏng răng thật. Cercon có độ bền tốt nhưng ít được ưa chuộng về mặt thẩm mỹ vì khả năng tái tạo màu sắc không tự nhiên như Zolid, đặc biệt khi phục hình cho răng cửa.
- Zolid vs Lava: Lava, một dòng sứ của 3M, cũng có độ bền cao, nhưng Zolid lại chiếm ưu thế về độ trong mờ tự nhiên và khả năng phục hình thẩm mỹ, đặc biệt là với các ca phục hình răng cửa. Lava có thể thích hợp cho các răng hàm nhưng Zolid vẫn vượt trội về mặt tính thẩm mỹ với khả năng tạo hình răng giống thật hơn.
Răng Sứ Zolid Phù Hợp Với Ai?
Trường hợp cần thẩm mỹ vùng răng cửa
Với khả năng mô phỏng răng thật tuyệt vời, Zolid FX là lựa chọn hoàn hảo cho răng cửa, giúp bạn có một nụ cười tự nhiên mà không lo lắng về sự khác biệt giữa răng thật và răng sứ. Dòng sứ này với tính thẩm mỹ vượt trội mang lại cho bạn một nụ cười đẹp tự nhiên và hài hòa, rất thích hợp với những ai yêu cầu thẩm mỹ cao cho răng cửa
Phục hình răng hàm yêu cầu chịu lực
Dòng Zolid HT (zirconia đục) rất thích hợp cho các răng hàm vì khả năng chịu lực cực kỳ tốt. Những ai có nhu cầu phục hình răng hàm hoặc các răng cần chịu lực lớn trong quá trình ăn nhai sẽ thấy Zolid HT là lựa chọn lý tưởng. Dòng sứ này giúp bạn có một răng hàm chắc chắn và bền lâu mà không lo lắng về độ bền của mão sứ.
Những ai nên chọn dòng cao cấp
Zolid Gen-X là dòng zirconia cải tiến, kết hợp giữa độ bền và thẩm mỹ. Dòng sứ này rất thích hợp cho những ai cần phục hình răng cửa và răng hàm, mà vẫn muốn giữ được tính thẩm mỹ tự nhiên mà không phải hy sinh độ bền. Zolid Gen-X mang lại sự cân bằng hoàn hảo giữa độ bền bỉ và đẹp tự nhiên, thích hợp cho những ai cần phục hình lâu dài, đặc biệt là những người có yêu cầu về cả độ bền và thẩm mỹ cao.
Bảng Giá Răng Sứ Zolid Bao Nhiêu Tiền?
Giá theo từng loại Zolid
Răng sứ Zolid có các mức giá khác nhau, tùy thuộc vào tính năng, độ thẩm mỹ và công nghệ chế tạo:
| Loại răng sứ | Giá dịch vụ (VNĐ/Răng) |
| Răng toàn sứ Zirconia | 4.500.000 |
| Răng sứ Zirconia HT | 5.000.000 |
Các yếu tố ảnh hưởng đến chi phí
- Loại sứ: Các dòng Zolid FX và Zolid Gen-X có giá cao hơn dòng Zolid HT do có tính thẩm mỹ cao và sử dụng công nghệ zirconia cải tiến, đặc biệt là Zolid FX, với khả năng mô phỏng răng thật rất tự nhiên. Do đó, mức giá sẽ dao động tùy thuộc vào loại sứ bạn chọn.
- Vị trí răng: Răng cửa yêu cầu tính thẩm mỹ cao, nên chi phí sẽ cao hơn so với răng hàm. Điều này là do răng cửa cần được mô phỏng sao cho gần giống như răng thật và có độ trong mờ tự nhiên.
- Bác sĩ thực hiện: Bác sĩ có tay nghề cao và kinh nghiệm trong việc bọc sứ sẽ đảm bảo rằng quy trình được thực hiện chính xác, giúp bạn có một kết quả tự nhiên và bền lâu

Có bảo hành chính hãng không?
Tại Nha khoa Đông A, chúng tôi cung cấp bảo hành chính hãng cho các răng sứ Zolid từ 5 đến 10 năm. Điều này giúp bạn hoàn toàn yên tâm khi sử dụng dịch vụ bọc sứ tại nha khoa của chúng tôi.
Kết Luận: Răng Sứ Zolid – Lựa Chọn Hoàn Hảo Cho Phục Hình Thẩm Mỹ Cao Cấp
Răng sứ Zolid là sự lựa chọn tối ưu cho những ai mong muốn một giải pháp phục hình răng miệng thẩm mỹ cao và bền bỉ lâu dài. Với độ bền cao, khả năng chịu lực mạnh mẽ, cùng với tính thẩm mỹ tự nhiên, Zolid giúp bạn có một nụ cười tự tin và khỏe mạnh mà không lo ngại về việc phục hình bị hư hỏng hay mài mòn theo thời gian.
Bạn đang tìm kiếm một giải pháp phục hình răng miệng với độ bền cao và thẩm mỹ tự nhiên? Đừng ngần ngại đến Nha khoa Đông A để được tư vấn miễn phí và thực hiện quy trình bọc sứ chính xác. Chúng tôi cam kết giúp bạn sở hữu một nụ cười đẹp, tự tin, và lâu dài trong nhiều năm tới.
📍 Địa chỉ: Nha khoa Đông A – 19A Nguyễn Đình Chiểu, Phường 4, Phú Nhuận, TP.HCM
📞 Hotline: 083 402 3456
📘 Fanpage: Nha khoa Đông A
📧 Email: nhakhoadonga19a@gmail.com
Chúng tôi sẽ giúp bạn cải thiện thẩm mỹ và sức khỏe răng miệng nhanh chóng và hiệu quả!
