Khi mất răng, nhiều người phân vân nên trồng răng sứ hay implant để vừa ăn nhai tốt vừa đảm bảo thẩm mỹ. Hai phương pháp này đều phổ biến tại các nha khoa hiện đại, nhưng mỗi loại lại có ưu – nhược điểm riêng. Bài viết này sẽ giúp bạn hiểu rõ sự khác biệt, chi phí và độ bền của răng sứ và implant, từ đó lựa chọn giải pháp phù hợp nhất cho mình.

Nên trồng răng sứ hay implant? – Tổng quan 2 phương pháp

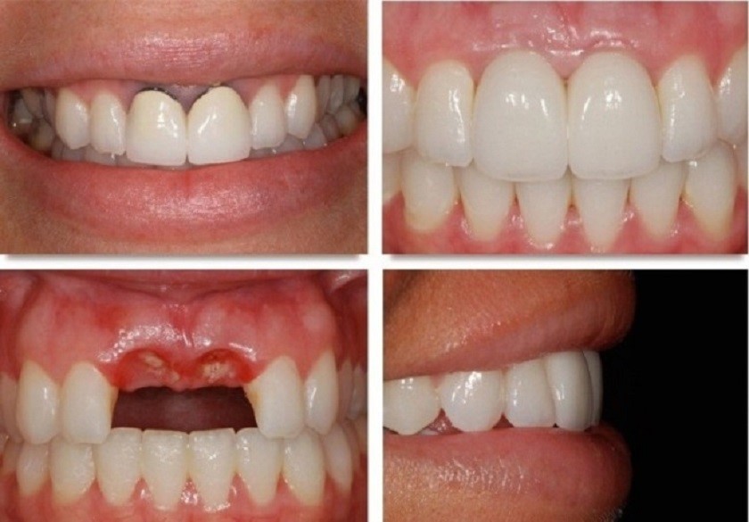
Trồng răng sứ là gì?

Trồng răng sứ (hay cầu răng sứ) là kỹ thuật mài 2 răng thật kế cận để làm trụ, sau đó gắn cầu răng sứ thay thế răng đã mất. Răng sứ có nhiều loại như sứ kim loại, toàn sứ… với màu sắc gần giống răng thật. Phương pháp này được ưa chuộng nhờ thực hiện nhanh và chi phí phải chăng.

Trồng răng implant là gì?

Cấy ghép implant là kỹ thuật đặt trụ titanium trực tiếp vào xương hàm, thay thế chân răng thật. Sau khi trụ tích hợp xương, bác sĩ sẽ phục hình mão sứ lên trên, tạo thành chiếc răng hoàn chỉnh. Implant có chức năng, cảm giác và độ bền gần như răng tự nhiên.

Khi nào nên so sánh răng sứ và implant?

Việc so sánh răng sứ và implant cần thiết khi bạn:

  • Bị mất một hoặc nhiều răng.
  • Muốn phục hình thẩm mỹ nhưng phân vân về chi phí.
    Cần cân nhắc giữa giải pháp ngắn hạn (răng sứ) và lâu dài (implant).

Ưu điểm và nhược điểm của trồng răng sứ

Ưu điểm khi trồng răng sứ

  • Thời gian làm nhanh (2–4 ngày).
  • Chi phí thấp hơn implant.
  • Tính thẩm mỹ cao, màu sắc tự nhiên.
  • Thủ thuật đơn giản, không phẫu thuật.

Hạn chế và nhược điểm của răng sứ

  • Phải mài răng thật bên cạnh, có thể ảnh hưởng men răng.
  • Tuổi thọ thường 5 – 7 năm, dễ hư hỏng nếu chăm sóc kém.
  • Không ngăn ngừa được tình trạng tiêu xương hàm.

Độ bền và tuổi thọ của răng sứ

Nếu chăm sóc kỹ, răng sứ có thể duy trì 7–10 năm. Tuy nhiên, do bản chất không có chân răng giả thay thế nên về lâu dài vẫn có nguy cơ ảnh hưởng xương hàm và răng trụ.

Ưu điểm và nhược điểm của implant

Ưu điểm vượt trội của implant

  • Thay thế cả chân răng, ngăn tiêu xương hàm.
  • Không xâm lấn đến răng thật bên cạnh.
  • Độ bền cao, có thể sử dụng trọn đời.
  • Ăn nhai chắc chắn, cảm giác như răng tự nhiên.
  • Tính thẩm mỹ tốt, khó phân biệt với răng thật.

Hạn chế khi trồng implant

  • Chi phí cao hơn nhiều so với cầu răng sứ.
  • Thời gian điều trị dài hơn (2–6 tháng).
  • Yêu cầu xương hàm đủ chắc khỏe, cần kiểm tra kỹ trước khi cấy ghép.

Tuổi thọ và khả năng tích hợp xương

Nếu được thực hiện đúng kỹ thuật và chăm sóc chuẩn, implant có thể tồn tại 20 năm đến trọn đời. Đây là lý do implant được coi là giải pháp phục hình tối ưu nhất hiện nay.

So sánh chi phí và hiệu quả giữa răng sứ và implant

Chi phí trồng răng sứ bao nhiêu?

  • Cầu răng sứ có giá từ 5 – 10 triệu đồng/răng, tùy loại sứ.
  • Ưu điểm: chi phí thấp, thẩm mỹ cao.
  • Nhược điểm: cần thay mới định kỳ, lâu dài tốn kém hơn.

Chi phí trồng implant bao nhiêu?

  • Trồng implant dao động từ 15 – 30 triệu đồng/răng, tùy loại trụ (Mỹ, Hàn, Thụy Sĩ…).
  • Tuy giá cao nhưng bền chắc, ít phải thay thế, về lâu dài tiết kiệm hơn

So sánh hiệu quả ăn nhai và thẩm mỹ

  • Răng sứ: cải thiện thẩm mỹ tốt, ăn nhai ổn định nhưng không chắc bằng răng thật.
  • Implant: phục hồi gần như 100% khả năng ăn nhai, thẩm mỹ tự nhiên, giữ xương hàm ổn định lâu dài.

Nên chọn trồng răng sứ hay implant?

Lựa chọn cuối cùng phụ thuộc vào tình trạng răng miệng, tài chính và mong muốn của bạn:

  • Nếu muốn giải pháp nhanh, chi phí vừa phải: nên chọn trồng răng sứ.
  • Nếu mong muốn ăn nhai chắc chắn, bền lâu và không tiêu xương: nên chọn implant.

👉 Tại Nha khoa Đông A, đội ngũ bác sĩ trên 20 năm kinh nghiệm như BS. Cang Hồng Thái sẽ trực tiếp thăm khám, tư vấn chi tiết và đưa ra giải pháp phù hợp nhất cho từng khách hàng. Cơ sở vật chất hiện đại, máy chụp CT 3D tiên tiến và quy trình chuẩn y khoa giúp khách hàng an tâm trong suốt quá trình điều trị.

📞 Hotline: 083 402 3456
🌐 Fanpage: Nha khoa Đông A
✉ Email: nhakhoadonga19a@gmail.com