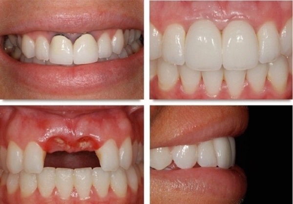
Khi mất răng ở vị trí dễ thấy nhất trên khuôn miệng, cấy ghép implant răng cửa là giải pháp giúp anh chị lấy lại nụ cười và chức năng ăn nhai gần như răng thật. Không chỉ khôi phục thẩm mỹ, cấy ghép implant răng cửa còn giữ được cấu trúc xương hàm, hạn chế tình trạng hóp má, sụp môi theo thời gian. Với công nghệ hiện nay, cấy ghép implant răng cửa đạt tỷ lệ thành công rất cao nếu được chẩn đoán đúng và thực hiện bởi bác sĩ giàu kinh nghiệm, vì vậy đây là lựa chọn đáng tiền cho những ai muốn phục hình bền, đẹp và lâu dài trong năm 2025.
Cấy ghép implant răng cửa là gì?
♦ Khái niệm implant răng cửa
Về bản chất, cấy ghép implant răng cửa là kỹ thuật đặt một trụ titanium có sinh học tương thích vào xương hàm để thay thế chân răng đã mất, rồi gắn khớp nối (abutment) và mão sứ ở phía trên để tái tạo thân răng. Sau quá trình tích hợp xương, cấy ghép implant răng cửa cho kết quả phục hình độc lập như một chiếc răng thật, không cần mài hai răng kế cận như cầu răng và không tháo ra lắp vào như răng giả tháo lắp. Với đặc thù nằm ở vùng thẩm mỹ, cấy ghép implant răng cửa được chế tác về màu sắc – hình thể sát với răng tự nhiên, giúp nụ cười hài hòa và tự tin.

♦ Ưu điểm nổi bật của implant răng cửa
So với các phương án khác, cấy ghép implant răng cửa nổi bật ở 4 điểm: thẩm mỹ, chức năng, bảo tồn xương và độ bền. Về thẩm mỹ, cấy ghép implant răng cửa cho phép tạo hình cổ răng – đường viền nướu tự nhiên, hạn chế “lộ viền đen” như một số mão sứ kim loại. Về chức năng, cấy ghép implant răng cửa truyền lực nhai trực tiếp xuống xương như răng thật nên cảm giác cắn xé thức ăn ổn định hơn so với hàm giả. Về sinh học, cấy ghép implant răng cửa kích thích xương vùng răng cửa, ngăn tiêu xương – yếu tố thường làm tụt nướu, hóp môi sau mất răng. Cuối cùng, về độ bền, cấy ghép implant răng cửa có thể dùng 15–20 năm, thậm chí lâu hơn nếu vệ sinh và tái khám đúng hẹn.
Quy trình cấy ghép implant răng cửa
♦ Thăm khám và chẩn đoán ban đầu
Một ca cấy ghép implant răng cửa bắt đầu bằng khám lâm sàng và chẩn đoán hình ảnh (thường là CT Cone Beam 3D) để đánh giá thể tích – mật độ xương, tình trạng nướu, khớp cắn và nụ cười. Kết quả thăm khám sẽ cho biết anh chị có đủ xương để cấy ghép implant răng cửa hay không, có cần ghép xương/ghép mô mềm, có bệnh lý nha chu cần xử lý trước không. Từ dữ liệu này, bác sĩ lên kế hoạch điều trị theo trình tự: xử lý bệnh lý – đặt implant – theo dõi tích hợp xương – phục hình sứ, giúp cấy ghép implant răng cửa đi đúng “roadmap” và hạn chế rủi ro.
♦ Các bước thực hiện implant răng cửa
Ở giai đoạn phẫu thuật, cấy ghép implant răng cửa được tiến hành trong điều kiện vô trùng, gây tê tại chỗ nên cảm giác dễ chịu. Bước đặt trụ là mở một đường nhỏ trên nướu, khoan dẫn hướng theo chiều – vị trí đã lập kế hoạch, sau đó đặt implant với lực siết phù hợp; với vị trí thẩm mỹ, cấy ghép implant răng cửa đòi hỏi đặt trụ đúng trục và đúng “độ sâu” để về sau cổ răng – đường nướu nhìn tự nhiên. Khi điều kiện ổn, bác sĩ có thể đặt vít lành thương hoặc gắn răng tạm, nhờ đó cấy ghép implant răng cửa vẫn đảm bảo thẩm mỹ giao tiếp trong giai đoạn chờ tích hợp xương. Ở giai đoạn phục hình, cấy ghép implant răng cửa tiếp tục với việc lấy dấu kỹ thuật số/analog, chọn abutment phù hợp sinh học nướu, thử khung – thử sứ rồi gắn hoàn tất, đảm bảo răng implant bền chắc, cân đối, khít sát.
♦ Thời gian hoàn tất cấy ghép implant răng cửa
Thời gian cho một ca cấy ghép implant răng cửa phụ thuộc chất lượng xương và kỹ thuật sử dụng. Nếu xương tốt, lực siết ban đầu đạt yêu cầu, anh chị có thể gắn răng tạm ngay (immediate loading) để đảm bảo thẩm mỹ trong vài giờ sau phẫu thuật, còn răng sứ sau cùng sẽ hoàn thiện sau 8–12 tuần. Với trường hợp mất răng đã lâu, tiêu xương nhiều phải ghép xương, cấy ghép implant răng cửa có thể cần 3–6 tháng để xương tích hợp thật ổn trước khi lắp mão sứ sau cùng. Dù theo lộ trình nhanh hay chuẩn, cấy ghép implant răng cửa đều hướng tới hai tiêu chí: tích hợp xương vững và viền nướu thẩm mỹ bền theo thời gian.

Chi phí cấy ghép implant răng cửa bao nhiêu?
♦ Bảng giá tham khảo implant răng cửa
Về chi phí, cấy ghép implant răng cửa thường dao động khoảng 15–30 triệu đồng/răng tùy hệ thống trụ (Hàn Quốc, Mỹ, Đức, Thụy Sĩ…), loại abutment, mão sứ (Zirconia, Lithium Disilicate, sứ kim loại) và mức độ khó. Ở một số trung tâm lớn, cấy ghép implant răng cửa vùng thẩm mỹ có thể dùng abutment cá thể hóa hoặc mão sứ thẩm mỹ cao cấp nên chi phí cao hơn nhưng đổi lại kết quả viền nướu – màu răng rất tự nhiên. Với các chương trình ưu đãi theo mùa, cấy ghép implant răng cửa cũng có thể tiết kiệm đáng kể nếu anh chị chủ động đặt lịch sớm.
♦ Các yếu tố ảnh hưởng đến chi phí
Nhìn chi tiết, cấy ghép implant răng cửa chịu tác động của 5 biến số: chất lượng trụ, chỉ định ghép xương, vật liệu mão sứ, tay nghề – thời gian phẫu thuật và dịch vụ hậu phẫu. Trụ premium cho cấy ghép implant răng cửa thường có bề mặt xử lý tiên tiến giúp tích hợp xương nhanh, ổn định dài hạn; ghép xương/nâng nền mũi nếu thiếu xương sẽ cộng thêm chi phí và thời gian; mão sứ nguyên khối cao cấp sẽ tăng tính thẩm mỹ vùng răng cửa; bác sĩ giàu kinh nghiệm thường rút ngắn thời gian, giảm biến chứng – điều này khiến cấy ghép implant răng cửa “đắt xắt ra miếng” nhưng đáng. Cuối cùng, chính sách bảo hành – tái khám định kỳ cũng là phần quan trọng trong tổng chi vì cấy ghép implant răng cửa là điều trị dài hơi, cần theo dõi, làm sạch chuyên sâu theo lịch.
♦ So sánh giá implant răng cửa với các răng khác
Nếu so giữa các vị trí, cấy ghép implant răng cửa thường nhỉnh hơn răng hàm vì yêu cầu thẩm mỹ khắt khe và phải cá thể hóa nhiều thông số. Răng hàm chủ yếu tối ưu chịu lực, còn răng cửa cần tối ưu đường cong nụ cười, biotype nướu, độ trong – đục của sứ; do đó cấy ghép implant răng cửa tốn công hơn, từ khâu đặt trụ tới phục hình. Dẫu vậy, xét về vòng đời, cấy ghép implant răng cửa vẫn kinh tế hơn cầu răng vì không phải mài răng kế cận và ít phải thay thế nhiều lần như các phục hình tạm thời.

Lưu ý khi cấy ghép implant răng cửa
♦ Chế độ ăn uống sau khi cấy implant
Trong 48 giờ đầu sau cấy ghép implant răng cửa, anh chị nên ăn mềm – nguội như cháo, súp, sữa chua, sinh tố; tránh đồ quá nóng, quá cứng, quá dai ở vùng phẫu thuật để không làm rách vết khâu. Sau 1 tuần, cấy ghép implant răng cửa có thể cho phép ăn uống bình thường hơn nhưng vẫn hạn chế cắn xé trực tiếp bằng răng cửa mới nếu đang đeo răng tạm. Đặc biệt, 2 tuần đầu nên giảm cà phê – trà đậm, thuốc lá, rượu bia để cấy ghép implant răng cửa lành nhanh và nướu giữ màu đẹp; bổ sung đủ nước, protein, vitamin C – D – K2 và canxi giúp xương tích hợp vững.
♦ Chăm sóc và vệ sinh răng cửa sau implant
Vệ sinh đúng cách quyết định tuổi thọ của cấy ghép implant răng cửa. Mỗi ngày, anh chị đánh răng với bàn chải lông mềm 2–3 lần, chải nhẹ vùng cổ răng – viền nướu để tránh viêm mô quanh implant. Song song, dùng chỉ nha khoa/tăm nước để làm sạch kẽ răng vì cấy ghép implant răng cửa dễ tích mảng bám ở vùng tiếp giáp nướu nếu lơ là. Tái khám định kỳ 3–6 tháng/lần để bác sĩ đánh giá ổn định xương – nướu, chỉnh khớp cắn vi chỉnh và đánh bóng sứ, nhờ đó cấy ghép implant răng cửa duy trì thẩm mỹ và chức năng lâu dài.
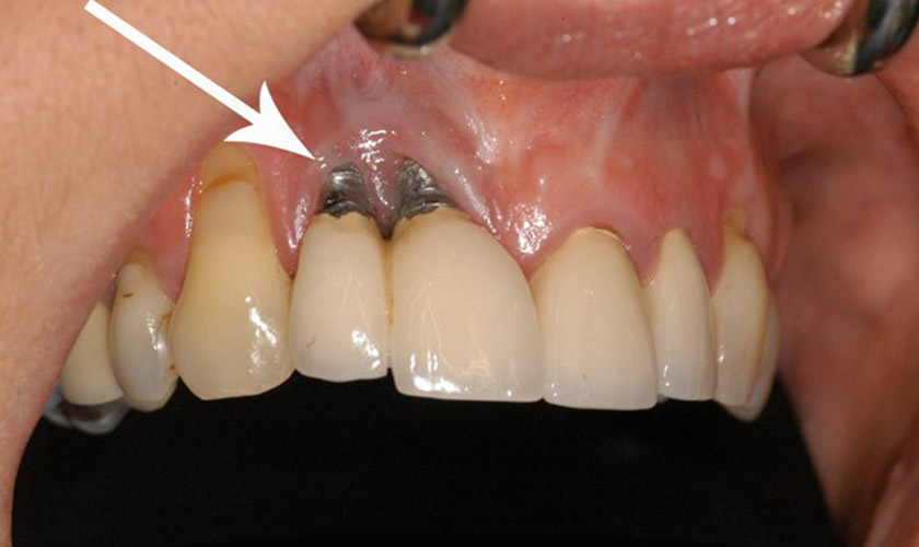
♦ Các biến chứng có thể gặp và cách xử lý
Dù tỉ lệ thấp, cấy ghép implant răng cửa vẫn có thể gặp vài biến cố: sưng đau 2–3 ngày đầu, chảy máu nhẹ, bầm tím môi – nướu; các dấu hiệu này thường tự hết khi uống thuốc và chườm lạnh theo hướng dẫn. Hiếm hơn, nếu vệ sinh kém, cấy ghép implant răng cửa có nguy cơ viêm mô quanh implant (peri-implant mucositis) hay tiêu xương quanh implant (peri-implantitis); lúc này cần điều trị sớm bằng làm sạch chuyên sâu, điều chỉnh khớp cắn và thuốc theo toa. Trong giai đoạn phục hình, nếu mão sứ vướng cộm, cấy ghép implant răng cửa cần được mài chỉnh tinh để tránh quá tải lực cắn gây lỏng vít, nẻ sứ. Mấu chốt là tuân thủ lịch tái khám – đừng đợi “có vấn đề” mới đến phòng khám, vì cấy ghép implant răng cửa được bảo dưỡng đúng sẽ bền bỉ nhiều năm.

Nha khoa uy tín thực hiện implant răng cửa
Cấy ghép implant răng cửa là thủ thuật phức tạp, đòi hỏi bác sĩ có tay nghề cao và cơ sở vật chất hiện đại. Vì vậy, lựa chọn nha khoa uy tín là yếu tố quyết định sự thành công của ca cấy ghép.
Nha khoa Đông A hiện là một trong những địa chỉ uy tín tại TP.HCM, được nhiều khách hàng tin tưởng khi thực hiện cấy ghép implant răng cửa. Nha khoa sở hữu đội ngũ bác sĩ giàu kinh nghiệm, đặc biệt là BS. CKI Cang Hồng Thái – chuyên gia hơn 20 năm trong lĩnh vực implant, từng làm việc tại Bệnh viện Răng Hàm Mặt và Đại học Y Dược TP.HCM
📍 Địa chỉ: 19A Nguyễn Đình Chiểu, P.4, Q. Phú Nhuận, TP.HCM
📞 Hotline: 0937 052 226
🌐 Website: nhakhoadonga.vn
