Bọc răng sứ cho răng cửa bị mẻ là một giải pháp hiệu quả để phục hồi vẻ đẹp và chức năng của răng miệng khi răng cửa bị mẻ. Vấn đề không chỉ đơn giản là mất thẩm mỹ, mà còn có thể ảnh hưởng nghiêm trọng đến chức năng ăn nhai của bạn. Răng cửa bị mẻ có thể gây đau đớn, khó khăn khi ăn uống và thậm chí khiến bạn cảm thấy tự ti khi giao tiếp. Chính vì vậy, việc tìm kiếm giải pháp phục hồi là vô cùng cần thiết.
Trong bài viết này, chúng ta sẽ cùng khám phá liệu bọc răng sứ cho răng cửa bị mẻ có phải là giải pháp tốt nhất và chi phí thực hiện là bao nhiêu. Hãy cùng tìm hiểu chi tiết nhé!
Răng Cửa Bị Mẻ Có Nên Bọc Sứ Không?
Phân biệt mẻ nhẹ và mẻ lớn
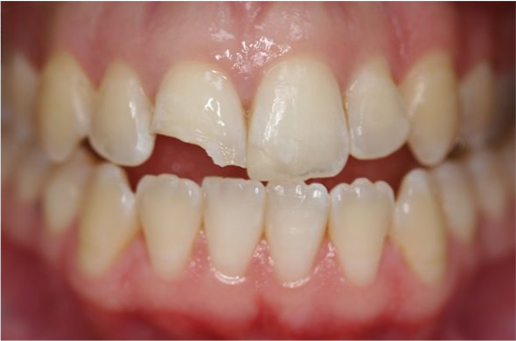
Khi răng cửa bị mẻ, mức độ của vết mẻ sẽ quyết định liệu bạn có cần bọc răng sứ cho răng cửa bị mẻ hay chỉ cần trám răng. Việc phân biệt rõ ràng giữa mẻ nhẹ và mẻ lớn giúp bạn lựa chọn phương pháp điều trị phù hợp nhất, tiết kiệm thời gian và chi phí.
- Mẻ nhẹ thường chỉ là một vết nứt nhỏ, không làm lộ mô răng thật, và không ảnh hưởng nghiêm trọng đến chức năng của răng. Răng vẫn có thể tiếp tục sử dụng bình thường mà không gặp phải cảm giác khó chịu. Trong trường hợp này, trám răng sẽ là giải pháp phù hợp và hiệu quả.
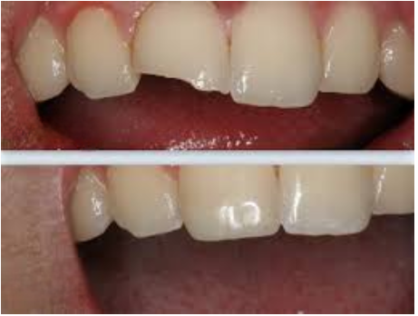
- Mẻ lớn: Khi răng cửa bị mẻ lớn, mô răng thật có thể bị lộ ra ngoài, và điều này có thể ảnh hưởng nghiêm trọng đến thẩm mỹ cũng như chức năng ăn nhai. Mẻ lớn có thể làm răng yếu đi, dễ bị hư hỏng thêm trong quá trình sử dụng, gây khó khăn trong ăn uống và làm giảm tự tin khi giao tiếp. Bọc sứ cho răng cửa bị mẻ là giải pháp tối ưu trong trường hợp này.

Lợi ích của việc bọc sứ cho răng cửa
Bọc răng sứ cho răng cửa bị mẻ không chỉ đơn thuần phục hồi vẻ đẹp cho răng mà còn mang lại rất nhiều lợi ích sức khỏe cho răng miệng của bạn:
- Khôi phục thẩm mỹ: Răng sứ được chế tạo với màu sắc và độ trong suốt tự nhiên giống như răng thật. Việc bọc sứ giúp bạn tự tin cười nói mà không lo lắng về răng mẻ hay mất thẩm mỹ.
- Bảo vệ răng thật: Bọc sứ giúp bảo vệ phần mô răng thật bên trong khỏi sự xâm nhập của vi khuẩn, mảng bám và các tác nhân gây hại khác. Việc này rất quan trọng vì khi răng bị mẻ, phần mô răng thật có thể bị tổn thương, dễ bị sâu răng hoặc viêm nướu.
- Răng sứ có độ cứng cao và khả năng chịu lực tốt, gần như tương đương với răng thật. Bạn có thể yên tâm ăn nhai mà không lo răng bị vỡ hoặc mẻ thêm.
Trường hợp nên trám thay vì bọc sứ
Mặc dù bọc răng sứ cho răng cửa bị mẻ là giải pháp rất tốt cho nhiều trường hợp răng bị mẻ, nhưng nếu răng cửa bị mẻ nhẹ và không lộ phần mô răng thật, phương pháp trám răng sẽ là lựa chọn hợp lý và tiết kiệm hơn:
- Trám răng giúp phục hồi nhanh chóng hình dáng răng mà không cần phải mài răng nhiều. Bằng cách này, bạn sẽ tiết kiệm được thời gian và chi phí so với bọc sứ.
- Trám răng cũng giúp bảo vệ mô răng thật, giảm thiểu tổn thương khi răng chỉ bị mẻ nhẹ.
Quy Trình Bọc Răng Sứ Cho Răng Cửa Bị Mẻ
Thăm khám và tư vấn chọn loại răng sứ
Bước đầu tiên trong quy trình bọc răng sứ cho răng cửa bị mẻ là khám lâm sàng để bác sĩ kiểm tra tình trạng sức khỏe răng miệng của bạn. Nếu cần thiết, bác sĩ sẽ yêu cầu chụp phim X-quang để xem xét kỹ lưỡng cấu trúc răng và mức độ mẻ, từ đó xác định phương án điều trị phù hợp.
Sau khi thăm khám và chẩn đoán, bác sĩ sẽ tư vấn cho bạn loại răng sứ phù hợp, bao gồm các lựa chọn sau:
- Sứ thường: Đây là chất liệu phổ biến, có chi phí thấp hơn và thường được dùng cho răng hàm.
- Sứ toàn sứ: Đây là loại sứ có thẩm mỹ vượt trội, rất phù hợp để làm răng cửa. Răng sứ toàn sứ có màu sắc tự nhiên, độ trong suốt giống như răng thật, giúp nụ cười của bạn trở nên tự nhiên hơn.
- Sứ cao cấp: Là sự kết hợp giữa thẩm mỹ và độ bền tuyệt vời. Loại sứ này thường được sử dụng cho những trường hợp yêu cầu cao về thẩm mỹ và độ bền, như các răng cửa quan trọng.

Mài răng và lấy dấu răng
Sau khi lựa chọn loại sứ phù hợp, bác sĩ sẽ mài ít hay nhiều tùy vào mức độ mẻ của răng. Mài răng giúp tạo không gian phù hợp cho mão sứ, đồng thời không làm tổn hại mô răng thật quá nhiều.
Sau khi mài, bác sĩ sẽ lấy dấu răng bằng cách sử dụng chất liệu đặc biệt để tạo ra hình dạng của răng bạn. Dấu răng này sẽ được dùng để chế tạo mão sứ sao cho phù hợp hoàn hảo với kích thước và hình dáng của răng bạn, giúp răng sứ trông tự nhiên và vừa vặn.
Gắn răng sứ và điều chỉnh khớp cắn
Khi mão sứ hoàn tất, bác sĩ sẽ gắn mão sứ lên răng cửa đã được mài sẵn. Việc gắn mão sứ không chỉ đảm bảo thẩm mỹ mà còn bảo vệ mô răng thật bên trong. Bạn sẽ cảm nhận được sự vừa vặn và tự nhiên khi mão sứ được đặt vào đúng vị trí.
Sau khi gắn mão sứ, bác sĩ sẽ kiểm tra khớp cắn và điều chỉnh sao cho khớp cắn vừa vặn, giúp răng bạn ăn nhai dễ dàng mà không gây khó chịu. Điều chỉnh khớp cắn là bước quan trọng để bảo vệ răng sứ, giúp nó không bị mài mòn hay hư hỏng trong quá trình ăn uống.
Bọc Răng Sứ Răng Cửa Có Đau Không? Có Ảnh Hưởng Gì Không?
Cảm giác trong lúc mài và gắn mão
Khi thực hiện bọc răng sứ cho răng cửa bị mẻ, bạn sẽ được gây tê tại chỗ, do đó bạn sẽ không cảm thấy đau đớn trong suốt quá trình. Bác sĩ sẽ sử dụng thuốc tê để làm tê liệt khu vực xung quanh răng cần điều trị, giúp bạn cảm thấy thoải mái và không bị đau khi thực hiện các thao tác mài và gắn mão.
Sau khi thuốc tê hết tác dụng, bạn có thể cảm thấy ê buốt nhẹ, đặc biệt khi răng bắt đầu phục hồi và thích nghi với mão sứ mới. Cảm giác này thường không kéo dài lâu và sẽ qua nhanh trong vài giờ hoặc một ngày. Nếu có bất kỳ cơn đau nào kéo dài, bạn có thể thông báo cho bác sĩ để được hỗ trợ kịp thời.
Răng sứ có bền như răng thật?
Răng sứ ngày nay có độ bền rất cao, đặc biệt là các loại sứ toàn sứ hoặc sứ cao cấp. Mặc dù không hoàn toàn giống như răng thật, nhưng các loại sứ hiện đại vẫn có khả năng chịu lực tốt, chống mài mòn và đảm bảo độ bền lâu dài. Các loại sứ cao cấp như sứ toàn sứ có độ cứng và khả năng chịu lực gần như răng thật, giúp bạn ăn uống thoải mái mà không lo sứ bị vỡ hoặc mẻ.
Nếu bạn chọn răng sứ cao cấp, với chế độ chăm sóc đúng cách (chải răng đều đặn và tránh các thói quen xấu như cắn vật cứng), răng sứ có thể duy trì lâu dài và mang lại kết quả ổn định trong suốt nhiều năm. Điều quan trọng là đảm bảo rằng bạn duy trì việc thăm khám định kỳ và chăm sóc răng miệng tốt để bảo vệ độ bền của mão sứ.

Bọc 1 chiếc răng cửa có đều màu không?
Khi thực hiện bọc răng sứ cho răng cửa bị mẻ , bác sĩ sẽ lựa chọn loại sứ có màu sắc tự nhiên giống như răng thật để đảm bảo tính thẩm mỹ. Răng sứ được chế tạo sao cho có độ trong suốt và màu sắc giống với các răng thật của bạn, giúp bạn có một nụ cười tự nhiên và đẹp.
Đặc biệt, bác sĩ sẽ chọn màu phù hợp với các răng còn lại của bạn. Nếu bạn chỉ bọc một chiếc răng cửa, bác sĩ sẽ đảm bảo rằng màu sắc của chiếc răng sứ mới hài hòa với màu sắc của các răng còn lại, giúp nụ cười của bạn trông tự nhiên và đều đặn.
Bọc Răng Sứ Răng Cửa Bao Nhiêu Tiền?
Giá theo loại răng sứ sử dụng
Giá bọc răng sứ cho răng cửa bị mẻ phụ thuộc vào loại sứ bạn chọn. Sứ toàn sứ và sứ cao cấp có giá cao hơn so với sứ thường, nhưng mang lại độ thẩm mỹ và độ bền cao hơn.
Tại Nha khoa Đông A, giá bọc răng sứ cho răng cửa bị mẻ dao động từ 3.000.000 VNĐ đến 6.000.000 VNĐ cho mỗi chiếc răng, tùy thuộc vào loại sứ bạn chọn và tình trạng răng cụ thể.
Yếu tố ảnh hưởng đến chi phí
Có một số yếu tố quan trọng sẽ ảnh hưởng đến chi phí bọc răng sứ cho răng cửa bị mẻ mà bạn cần lưu ý:
- Tình trạng răng: Nếu răng cửa của bạn cần phải mài nhiều do mẻ lớn hoặc có các vấn đề như sâu răng hoặc viêm nhiễm, chi phí sẽ cao hơn vì bác sĩ sẽ phải làm thêm các bước điều trị trước khi bọc sứ.
- Loại sứ: Các loại răng sứ cao cấp, như sứ toàn sứ hay sứ cao cấp, có giá cao hơn, nhưng chúng sẽ mang lại hiệu quả thẩm mỹ tốt nhất và độ bền lâu dài, giúp bạn duy trì nụ cười đẹp tự nhiên và khỏe mạnh trong nhiều năm.
- Bác sĩ thực hiện: Tay nghề và kinh nghiệm của bác sĩ cũng ảnh hưởng đến chi phí. Những bác sĩ có nhiều năm kinh nghiệm và tay nghề cao sẽ thực hiện quy trình bọc răng sứ chính xác hơn và đảm bảo kết quả tốt hơn.
Có bảo hành khi bọc răng cửa không?
Tại Nha khoa Đông A, chúng tôi cung cấp bảo hành bọc răng sứ cho răng cửa bị mẻ từ 5 đến 10 năm, giúp bạn hoàn toàn yên tâm khi sử dụng dịch vụ. Bảo hành này bảo vệ bạn khỏi các sự cố liên quan đến mão sứ như răng bị vỡ hoặc hư hại trong quá trình sử dụng, miễn là vấn đề không do tác động mạnh từ bên ngoài.
Kết Luận: Bọc Sứ Là Giải Pháp Tối Ưu Cho Răng Cửa Bị Mẻ Lớn
Khi răng cửa bị mẻ lớn, việc tìm kiếm giải pháp khắc phục không chỉ giúp phục hồi vẻ đẹp thẩm mỹ mà còn đảm bảo chức năng ăn nhai lâu dài. Bọc răng sứ cho răng cửa bị mẻ là phương pháp hiệu quả nhất để giải quyết tình trạng này, mang lại cho bạn một nụ cười hoàn hảo và chức năng răng miệng bình thường.
Mặc dù chi phí bọc răng sứ cho răng cửa bị mẻ có thể cao hơn so với các phương pháp như trám răng, nhưng bọc sứ lại có độ bền vượt trội, khả năng chịu lực tốt, và thẩm mỹ tự nhiên. Các loại sứ cao cấp hoặc sứ toàn sứ không chỉ mang lại vẻ đẹp giống răng thật mà còn rất bền, giúp bạn ăn nhai thoải mái mà không lo răng bị hư hỏng hay mẻ thêm.
Nếu bạn cần tư vấn hoặc muốn đặt lịch khám, hãy đến với Nha khoa Đông A để trải nghiệm dịch vụ chất lượng cao:
📍 Địa chỉ: Nha khoa Đông A – 19A Nguyễn Đình Chiểu, Phường 4, Phú Nhuận, TP.HCM
📞 Hotline: 083 402 3456
📘 Fanpage: Nha khoa Đông A
📧 Email: nhakhoadonga19a@gmail.com
